全球最实用的IT互联网信息网站!

AI人工智能P2P分享&下载搜索网页发布信息网站地图

当前位置:诺佳网 > 电子/半导体 > 可编程逻辑 >

FPGA图像处理-CLAHE算法介绍(一)

时间:2024-01-02 13:32

人气:

作者:admin

标签:

导读:在介绍CLAHE算法之前必须要先提一下直方图均衡化,直方图均衡化算法是一种常见的图像增强算法,可以让像素的亮度分配的更加均匀从而获得一个比较好的观察效果。...

在介绍CLAHE算法之前必须要先提一下直方图均衡化,直方图均衡化算法是一种常见的图像增强算法,可以让像素的亮度分配的更加均匀从而获得一个比较好的观察效果。

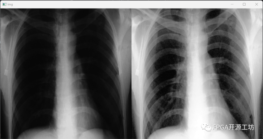
如下图就是经过直方图均衡化后的效果图。

import cv2
import numpy as np


from matplotlib import pyplot as plt
img = cv2.imread(r'E:python_image_simpythonProjectsimimgFig0459(a)(orig_chest_xray).tif', 0)
img = cv2.resize(img, (500, 500))
equ=cv2.equalizeHist(img)
res = np.hstack((img, equ))
# stacking images side-by-side
cv2.imshow('img', res)
cv2.waitKey()
cv2.destroyAllWindows()

ee96a1f8-a923-11ee-8b88-92fbcf53809c.png

左边是原图,右边是经过直方图均衡化后图,可以看到肋骨什么的可以更加清晰的显示了出来,能够更好的观察到肋骨等位置的细节。

但是美中不足的是总感觉有的地方太亮了,干扰到了我们的观察。

这是因为直方图均衡化有着两个问题:

直方图均衡化是针对全局进行处理的,所以当局部出现过亮或者过暗的时候就会影响效果。

直方图均衡化会增强噪声。

再来看看经过CLAHE算法后的效果。

import cv2
import numpy as np


from matplotlib import pyplot as plt
img = cv2.imread(r'E:python_image_simpythonProjectsimimgreast_digital_Xray.tif', 0)
img = cv2.resize(img, (500, 500))
equ = cv2.equalizeHist(img)
cla = cv2.createCLAHE(2, (5, 5))
# cv2.ahe
cla = cla.apply(img)
res = np.hstack((img, equ, cla))
# res = np.hstack((img, equ))
# stacking images side-by-side
cv2.imshow('img', res)
cv2.waitKey()
cv2.destroyAllWindows()

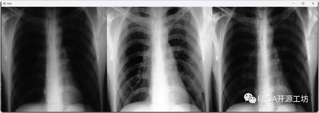
eebf8ffa-a923-11ee-8b88-92fbcf53809c.png

eee00186-a923-11ee-8b88-92fbcf53809c.png

最左侧为原图,中间为直方图均衡化后的结果,最右侧为CLAHE算法的效果。

从视觉效果上来看,CLAHE算法的效果最为明显。

CLAHE算法针对上面两个问题,提出了相应的解决方案:

CLAHE会将图像分成一个一个的小块,这样在局部进行直方图均衡化。

针对背景噪声增强的问题,CLAHE算法应用了限制对比度的方法。

CLAHE算法的实现步骤分为以下三个部分:

对图像进行分块

对每个块进行直方图均衡化和限制对比度

使用插值的方法得到最后增强的图片







审核编辑:刘清

温馨提示:以上内容整理于网络,仅供参考,如果对您有帮助,留下您的阅读感言吧!
相关阅读
本类排行
相关标签
本类推荐

CPU | 内存 | 硬盘 | 显卡 | 显示器 | 主板 | 电源 | 键鼠 | 网站地图

Copyright © 2025-2035 诺佳网 版权所有 备案号:赣ICP备2025066733号
本站资料均来源互联网收集整理,作品版权归作者所有,如果侵犯了您的版权,请跟我们联系。

关注微信